
当院では放射線部門と臨床検査部門を統括した、画像・検査チームとして医用画像や検査データを提供しています。
医療機関のみなさまへ
紹介外来のご予約は地域連携室で受け付けておりますのでご連絡ください。
また、放射線科では地域医療機関の先生方に医療機器を有効利用していただくために、CT・MRIのFAXによる検査予約を受け付けております。
待ち日数がなく、紹介当日の検査も可能です。ぜひ、当院の医療機器をご利用いただき、診療にお役立て下さい。
- 予約票に必要事項をご記入のうえ、放射線科直通FAX:0875-57-5607に送信して下さい。
- 当院で予約を取った後、予約票を紹介元機関さまへFAXにて送信致します。
- 届いた予約票をご確認のうえ、患者様へお渡し下さい。
【紹介患者 診療検査予約票(PDF)】
【予約手順(PDF)】
FAX受付時間 : 平日(月~土曜日)午前9時~午後5時
診察・検査受付時間 : 平日(月~土曜日)午前9時~午後5時
※急患の場合は、担当医師へ直接ご連絡をお願い致します。
放射線部門
「安心・安全かつ信頼ある画像検査を提供する」をスローガンに、各診療科の医師の診断・治療に必要な質の高い的確な画像を提供できるよう、また、患者様に安心して検査を受けていただけるよう努力しています。
さらに、地域医療に貢献するべく、24時間365日オンコール体制で診療にあたっています。
- MRI装置
最高の磁場強度である3T(テスラ)MRI装置に更新しました。
≪装置の特徴≫
当院のMRI装置は、普及している1.5T装置の2倍の磁場強度を有します。約2倍の信号強度が得られるので、より解像度の高い画像を撮影でき、また撮影時間も短縮できるという利点があります。
頭部領域で威力を発揮するのはもちろんのこと、従来の3TMRIの弱点であった腹部や骨盤部でも画像ムラのない高画質な画像が得られます。また、造影剤を使わずに血管を描出したり、心臓の機能を調べたり、さまざまな検査を行うことが可能です。
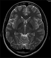
頭部画像
脊椎画像
腎動脈 ※非造影MRA
心臓
前立腺
膝関節 - CT装置
最新鋭の320列・640スライスCT装置に更新しました。
≪装置の特徴≫
16cmの範囲をわずか0.35秒で撮影し、高精細な画像を320枚得ることができます。心臓を約0.35秒、肺を約2秒、体幹部を約5秒で撮影可能ですので、小児や救急、動きのある臓器の撮影に特に有用です。
また、X線も以前の1/3の被ばくにまで低減されます。
動きのある心臓の血管もまるで止まっているかのように撮影できます。
頭頚部血管
腹部血管 - 血管撮影装置(回転DSA)
動脈瘤、血管狭窄、腫瘍などの画像診断に血管だけ連続的に撮影し、その異常の程度を診断します。また心臓や頚などから塞栓物質が脳に流れてきた場合(急性期脳梗塞)は、これを溶かして重大な脳梗塞にならないようにする血栓溶解、血管内手術などが行われます。また、3D-DSA(回転DSA)を行い、3次元画像を作成することで脳動脈瘤の術前評価などに役立てています。 - 一般撮影装置(FPD・CR)
胸腹部や骨の撮影を行います。FPD(フラットパネルディテクタ)を導入し、従来より低被ばく・高画質の画像を提供しています。 - X線TV装置
X線透視画像を見ながら、泌尿器科や整形外科、内科の検査を行います。 - 外科用イメージ
移動式のX線透視・撮影装置です。おもに整形外科や脳神経外科(脊椎)の手術支援を行っています。 - ポータブル撮影装置
移動式のX線撮影装置です。ICUや病室、手術室、救急室での撮影を行います。 - ワークステーション
CTやMRIなどの画像データの3次元画像処理をおこないます。 - 画像サーバー(PACS)
全てのデジタル画像データは画像サーバーに保管され、電子カルテと連携することで必要な時にいつでも参照することができます。
臨床検査部門
「精度の高い検査データを迅速に提供する」をスローガンに、検体検査だけではなく、各種生理検査、認知症外来(物忘れ外来)でのMMSテストなど幅広い業務に取り組んでいます。検査結果を正確に迅速に提供することで病気の早期発見や、診断・治療に役立てています。また、緊急手術などの輸血の際は、昼夜を問わず血液型検査やクロスマッチテスト(交差適合試験)を行っています。
当院では生化学自動分析装置を導入し、主な血液検査項目の結果が院内で迅速に提供できるようになりました。
- 血液検査(末梢血液一般、生化学、血液ガス)
- クロスマッチテスト
- 尿検査(一般、沈渣)
- 各種生理検査(心電図・脳波・筋電図・呼吸機能・聴力・重心動揺検査・脈波図)
- サーモグラフィ
- 神経心理テスト(MMS)
- 睡眠時無呼吸検査(SAS)






